Zirkonyum Kaplama

Zirkonyum Kaplama

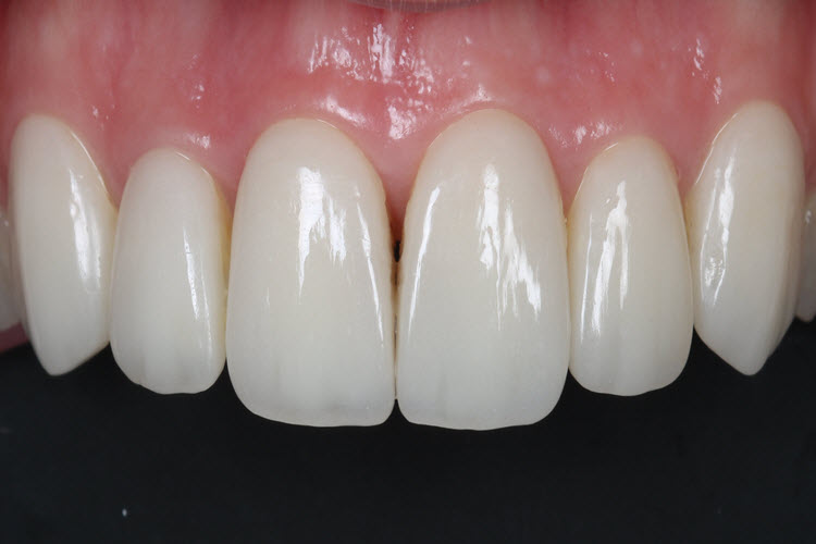
Estetik, Dayanıklı ve Doğal Görünümlü Gülüşler

Zirkonyum kaplamalar, hem estetik hem de dayanıklılığıyla ön plana çıkan modern diş tedavi çözümlerindendir. Doğal diş renginde olmaları ve ışık geçirgenlikleri sayesinde gerçek dişe en yakın görünümü sunarlar.

Zirkonyum Kaplama Nedir?

 

Zirkonyum, beyaz renkte, dayanıklı ve doku dostu bir malzemedir. Dişlerin üzerine kaplama (kuron) şeklinde yerleştirilerek hem estetik bir görünüm sağlar hem de dişi korur.

Hangi Durumlarda Tercih Edilir?

  • Renklenmiş, aşırı madde kaybı olan dişlerde
  • Kırık ya da çatlak dişlerde
  • Ön diş estetiğinde
  • Köprü protezlerinde
  • Metal destekli kaplama istemeyen hastalarda

Avantajları Nelerdir?

  • Doğal Görünüm: Işık geçirgenliği sayesinde yapay durmaz.
  • Metal İçermez: Alerji riski yoktur, diş etiyle uyumludur.
  • Uzun Ömürlüdür: Dayanıklılığı yüksektir, uzun yıllar kullanılabilir.
  • Diş Eti Dostudur: Diş etinde morarma yapmaz, sağlıklı bir uyum sağlar.
  • Leke Tutmaz: Kahve, çay gibi maddelere karşı dirençlidir.

Tedavi Süreci Nasıldır?

 

Tedavi genellikle 2-3 seansta tamamlanır. İlk seansta dişler hazırlanır ve ölçü alınır. Sonraki randevuda hastaya özel hazırlanan zirkonyum kaplamalar uygulanır. Hasta işlem sonrası hemen günlük hayatına dönebilir.

Hasta Yorumları Ve Görüşleri

Hastalarımızın Kliniğimiz Hakkındaki Görüşlerine Buradan Ulaşabilirsiniz.

Randevu Formu

Randevu Oluşturmak için Lütfen Formu Doldurunuz.