Bonding
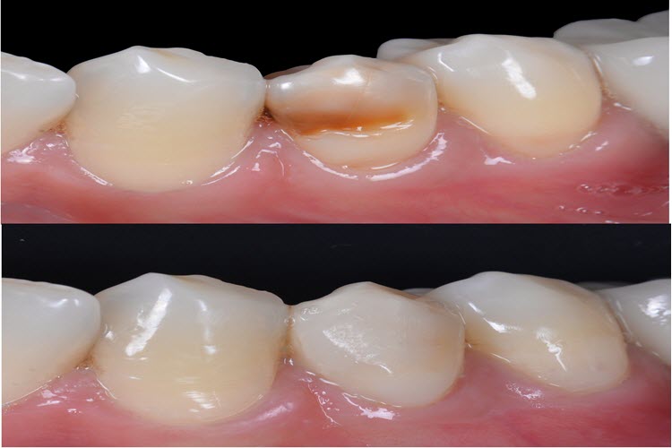
Bonding, dişlerdeki küçük şekil bozukluklarını, çatlakları, aralıkları ya da renk farklarını düzeltmek için uygulanan estetik bir dolgu işlemidir. Dişe özel kompozit dolgu maddesi uygulanarak, doğal görünüm korunur ve gülüş estetiği sağlanır.
Kısacası: Hızlı, pratik ve ağrısız bir güzelleşme!
Hangi Durumlarda Kullanılır?
- Ön dişlerdeki küçük çatlak ve kırıklar
- Dişler arasındaki boşluklar (diastema)
- Renk bozukluğu veya lekelenmeler
- Diş boyunu uzatma veya şekil düzeltme
Neden Bonding?
Ağrısız, iğnesiz, genelde tek seansta tamamlanır
Dişten neredeyse hiç madde kaldırılmaz
Hemen sonuç verir
Ekonomiktir
Doğal görünür
Bonding uygulaması genellikle 30-60 dakika gibi kısa bir sürede tamamlanır. Dişlerinize zarar vermez, tersine koruyucu ve estetik bir dokunuş sağlar.
Hasta Yorumları Ve Görüşleri
Esma Hanım gerçekten harika bir diş hekimi!
Hem işinde çok profesyonel hem de hastasına yaklaşımı inanılmaz nazik ve güven verici. Dişçi korkumu resmen yendi . Süreci o kadar rahat ve ağrısız geçirdim ki kendisine ne kadar teşekkür etsem az. Gönül rahatlığıyla tavsiye ederim
Zirkonyum kaplama hem estetik hem de çok sağlam. Uzun süredir bu kadar profesyonel bir yaklaşımla karşılaşmamıştım. Teşekkür ederim Zeynep Hanım!
Mehtap hanım annemin aralıklı olan dişlerini estetik dolgu ile kapattı, dişleri aşındırmadan yapılan bu işlemden çok memnun kaldık. Zeynep hanım da arka dişler için zirkonyum kaplama yaptı kendi dişi gibi kullanıyor şimdi .İşinin ehli doktorların kliniği kesinlikle tavsiye ederim.
Zeynep Hanım’ın yaptığı estetik dolgularla gülüşüm tamamen değişti. Sanki kendi dişim gibi, dolgu olduğu belli bile değil. Çok teşekkür ederim.


